Cacciavite odontoiatrico nel polmone, intervento urgente salva una giovane donna

Tosse ostinata e dolore al torace hanno portato una giovane donna in ospedale. Una Tac ha rivelato un oggetto metallico nel polmone destro, rendendo necessario un intervento immediato per evitare gravi complicazioni.

Tosse Cacciavite
Cacciavite odontoiatrico nel polmone, intervento urgente salva una giovane donna

Da giorni conviveva con una tosse continua e fitte al petto sempre più intense. I sintomi, inizialmente sottovalutati, hanno spinto la paziente a rivolgersi al Pronto Soccorso del Grande Ospedale Metropolitano (G.O.M.) di Reggio Calabria, portando con sé una Tac già effettuata per chiarire l’origine del malessere.

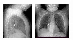
L’esame ha mostrato un corpo estraneo metallico bloccato nel bronco lobare inferiore del polmone destro. L’oggetto, risultato poi essere un cacciavite odontoiatrico, era accompagnato da un pneumomediastino, segnale di una condizione potenzialmente pericolosa.

Leggi anche: Intervento di emergenza al Policlinico di Milano salva bambino di 8 anni con frammento di matita nel polmone

Alla luce del quadro clinico, i medici hanno disposto il ricovero immediato e il trasferimento in sala operatoria. La priorità era rimuovere l’oggetto prima che potesse provocare infezioni, perforazioni o ulteriori danni respiratori.

L’estrazione è avvenuta tramite broncoscopia, una procedura mininvasiva ma complessa, eseguita dall’équipe di Chirurgia Toracica. L’intervento si è svolto senza imprevisti, consentendo di recuperare il cacciavite in modo sicuro.

Nel periodo successivo, la paziente è stata seguita in Terapia Intensiva Post Operatoria, dove i parametri clinici sono rimasti stabili e il recupero è proceduto in modo regolare.

Il miglioramento progressivo ha permesso una ripresa rapida delle funzioni respiratorie e la completa risoluzione dei sintomi che avevano portato al ricovero.

Dopo l’osservazione clinica prevista, la donna è stata dimessa in buone condizioni generali, con indicazioni per i controlli successivi e senza segni di complicanze legate all’episodio.